Shpresë e re kundër kancerit: Qelizat vet*vriten për të shpëtuar trupin
Shkencëtarët amerikanë kanë krijuar molekula dhe teknologji gjenetike që detyrojnë qelizat kancerogjene të vetëshkatërrohen, një qasje e re dhe premtuese ...
Shkencëtarët amerikanë kanë krijuar molekula dhe teknologji gjenetike që detyrojnë qelizat kancerogjene të vetëshkatërrohen, një qasje e re dhe premtuese ...
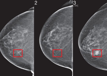
Për ta kapur kancerin më herët, duhet të parashikojmë se kush do e ketë atë në të ardhmen. Natyra komplekse ...
© 2025 IconStyle | Një Markë e GlobalEcho Media Group
Rruga Sami Frashëri Pallati Vortek , Qendra Metropol, kati i dytë. Na kontaktoni
© 2025 IconStyle | Një Markë e GlobalEcho Media Group
Rruga Sami Frashëri Pallati Vortek , Qendra Metropol, kati i dytë. Na kontaktoni