IconStyle
Nuk ka rezultat
View All Result
  • Login
  • Register
  • Celebrity
  • Aktualitet
  • ICONsclusive
  • Stil jetese
  • Horoskopi
  • Udhëzime për dhurata
  • Qytetarët
  • sq
    • sq
    • en
IconStyle
  • Celebrity
  • Aktualitet
  • ICONsclusive
  • Stil jetese
  • Horoskopi
  • Udhëzime për dhurata
  • Qytetarët
  • sq
    • sq
    • en
Nuk ka rezultat
View All Result
IconStyle
Nuk ka rezultat
View All Result

Inteligjenca artificiale parashikon kancerin 5 vite para se ai të zhvillohet

08:56 29/07/2024
në Bota, Featured, Të gjitha
Kohë leximi: 3 min
A A
0
Foto ilustruese
Share on FacebookShare on Twitter

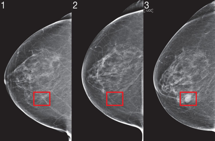
Për ta kapur kancerin më herët, duhet të parashikojmë se kush do e ketë atë në të ardhmen. Natyra komplekse e parashikimit të rrezikut është forcuar nga mjetet e inteligjencës artificiale (AI).

Dy vjet më parë, një ekip shkencëtarësh nga Laboratori i Shkencave Kompjuterike dhe Inteligjencës Artificiale të MIT (CSAIL) dhe Klinika Jameel demonstruan një sistem mësimi të thellë për të parashikuar rrezikun e kancerit duke përdorur vetëm mamografinë e një pacienti. Modeli tregoi premtime të rëndësishme dhe madje edhe përfshirje të përmirësuar: ishte po aq i saktë për gratë, gjë që është veçanërisht e rëndësishme duke pasur parasysh se gratë me ngjyrë kanë 43 për qind më shumë gjasa të vdesin nga kanceri i gjirit.

Lexo edhe :

“Cowboy Carter” në qendër të skandalit, i akuzuari për vjedhjen e Beyoncé dënohet

“Cowboy Carter” në qendër të skandalit, i akuzuari për vjedhjen e Beyoncé dënohet

22:45 12/05/26
“Familjet e Harvardit nuk e thonë kurrë këtë frazë”/ Lista e shprehjeve që duhen shmangur për të pasur sukses

“Familjet e Harvardit nuk e thonë kurrë këtë frazë”/ Lista e shprehjeve që duhen shmangur për të pasur sukses

22:28 12/05/26

Por për të integruar modelet e rrezikut të bazuara në imazhe në kujdesin klinik dhe për t’i bërë ato gjerësisht të disponueshme, studiuesit thonë se modelet kishin nevojë për përmirësime algoritmike dhe vërtetim në shkallë të gjerë në disa spitale për të provuar qëndrueshmërinë e tyre.

Për këtë qëllim, ata përshtatën algoritmin e tyre të ri “Mirai” për të kapur kërkesat unike të modelimit të rrezikut. Mirai modelon së bashku rrezikun e një pacienti në disa pika kohore në të ardhmen dhe mund të përfitojë opsionalisht nga faktorët klinik të rrezikut si mosha ose historia familjare, nëse ato janë të disponueshme. Algoritmi është projektuar gjithashtu për të prodhuar parashikime që janë të qëndrueshme për variancat e vogla në mjediset klinike, si zgjedhja e makinës së mamografisë.

Ekipi e trajnoi Mirai-n në të njëjtin grup të dhënash prej mbi 200,000 provimesh nga Spitali i Përgjithshëm i Massachusetts (MGH) nga puna e tyre e mëparshme dhe e vërtetoi atë në grupe testesh nga MGH, Instituti Karolinska në Suedi dhe Spitali Memorial Chang Gung në Tajvan. Mirai tani është instaluar në MGH dhe bashkëpunëtorët e ekipit po punojnë në mënyrë aktive në integrimin e modelit në kujdes.

Mirai ishte dukshëm më i saktë se metodat e mëparshme në parashikimin e rrezikut të kancerit dhe identifikimin e grupeve me rrezik të lartë në të tre grupet e të dhënave. Kur krahasuan grupet me rrezik të lartë në grupin e testeve MGH, ekipi zbuloi se modeli i tyre identifikoi gati dy herë më shumë diagnoza të kancerit në të ardhmen krahasuar me standardin aktual klinik, modelin Tyrer-Cuzick.

Mirai ishte po aq i saktë te pacientët e racave të ndryshme, grupmoshave dhe kategorive të densitetit të gjirit në grupin e testit MGH dhe në nëntipe të ndryshme të kancerit në grupin e testeve Karolinska.

Ja se si funksionon Mirai:

1. Imazhi i mamografisë vendoset përmes diçkaje që quhet “koder imazhi”.

2. Çdo paraqitje imazhi, si dhe nga cila pamje ka ardhur, grumbullohet me imazhe të tjera nga pamje të tjera për të marrë një paraqitje të të gjithë mamografisë.

3. Me mamografinë, faktorët tradicionalë të rrezikut të pacientit parashikohen duke përdorur një model Tyrer-Cuzick (mosha, pesha, faktorët hormonalë). Nëse nuk disponohet, përdoren vlerat e parashikuara.

4. Me këtë informacion, shtresa e rrezikut shtesë parashikon rrezikun e pacientit për çdo vit gjatë pesë viteve të ardhshme.

Përmirësimi i Mirai

Megjithëse modeli aktual nuk shikon asnjë nga rezultatet e mëparshme të imazhit të pacientit, ndryshimet në imazhe me kalimin e kohës përmbajnë një mori informacionesh. Në të ardhmen, ekipi synon të krijojë metoda që mund të përdorin në mënyrë efektive historinë e plotë të imazhit të pacientit.

Në një mënyrë të ngjashme, ekipi vëren se modeli mund të përmirësohet më tej duke përdorur “tomosintezën”, një teknikë me rreze X për shqyrtimin e pacientëve me kancer asimptomatik. Përtej përmirësimit të saktësisë, kërkohen kërkime shtesë për të përcaktuar se si të përshtaten modelet e rrezikut të bazuara në imazhe me pajisje të ndryshme mamografike me të dhëna të kufizuara.

Etiketa: inteligjenca artificialekacerkancer

Kontribuo për lajmin, dërgo foto ose video në redaksi



Denoncime


Lajme Të lidhura

11 kancere në rritje tek të rinjtë! Shkencëtarët gjejnë idenë e parë pse po ndodh kjo
Bota

11 kancere në rritje tek të rinjtë! Shkencëtarët gjejnë idenë e parë pse po ndodh kjo

17:04 29/04/2026
Cila orë e ditës është më efektive kur bëhet kimioterapia
Bota

Cila orë e ditës është më efektive kur bëhet kimioterapia

22:36 05/02/2026
E vërteta që nuk thuhet shpesh: Cili mish rrit rrezikun e kancerit
Featured

E vërteta që nuk thuhet shpesh: Cili mish rrit rrezikun e kancerit

19:42 04/02/2026
Studimi: 40% e rasteve të reja të kancerit në botë mund të parandalohen!
Featured

Studimi: 40% e rasteve të reja të kancerit në botë mund të parandalohen!

15:04 04/02/2026
Charles fiton betejën me kancerin, mbreti: Mjekët më thanë se trajtimi do të reduktohet nga viti i ri
Celebrity

Charles fiton betejën me kancerin, mbreti: Mjekët më thanë se trajtimi do të reduktohet nga viti i ri

21:22 12/12/2025
Para
Agroni dhe gruaja

Në 40 vjetorin e martesës, Agron Llakaj kujton të shoqen: Festo me engjëjt, zemër

Zbuloni arsyet pse nuk duhet të vendosni parfum në flokët tuaj

Zbuloni arsyet pse nuk duhet të vendosni parfum në flokët tuaj

Foto ilustruese

Lojërat Olimpike 2024/ Sabotohen rrjetet e fibrave optike në të gjithë Francën

Lini një Përgjigje Anuloje përgjigjen

Adresa juaj email s’do të bëhet publike. Fushat e domosdoshme janë shënuar me një *

Mos humb asgjë! Merr i pari lajmet pikante dhe ofertat ekskluzive

Te fundit

“Cowboy Carter” në qendër të skandalit, i akuzuari për vjedhjen e Beyoncé dënohet

“Cowboy Carter” në qendër të skandalit, i akuzuari për vjedhjen e Beyoncé dënohet

22:45 12/05/26
“Familjet e Harvardit nuk e thonë kurrë këtë frazë”/ Lista e shprehjeve që duhen shmangur për të pasur sukses

“Familjet e Harvardit nuk e thonë kurrë këtë frazë”/ Lista e shprehjeve që duhen shmangur për të pasur sukses

22:28 12/05/26
“Bullizohet për peshën e saj”, bashkëshorti i Sara Karajt tregon bisedën me fermeren para hyrjes në Ferma VIP

“Bullizohet për peshën e saj”, bashkëshorti i Sara Karajt tregon bisedën me fermeren para hyrjes në Ferma VIP

21:16 12/05/26
Tragjedi në basketboll, ndahet papritur nga jeta ylli i NBA në moshën 29-vjeçare

Tragjedi në basketboll, ndahet papritur nga jeta ylli i NBA në moshën 29-vjeçare

21:04 12/05/26
Hantavirusi: Pse frika “zgjon” kujtimet e pandemisë! Çfarë ndodh në mendjen tonë

Hantavirusi: Pse frika “zgjon” kujtimet e pandemisë! Çfarë ndodh në mendjen tonë

20:16 12/05/26
Lufta për inteligjencën artificiale/ Elon Musk sfidon OpenAI, çfarë pritet nga dëshmia e Sam Altman

Lufta për inteligjencën artificiale/ Elon Musk sfidon OpenAI, çfarë pritet nga dëshmia e Sam Altman

19:52 12/05/26
  • Celebrity
  • Aktualitet
  • ICONsclusive
  • Stil jetese
  • Horoskopi
  • Udhëzime për dhurata
  • Qytetarët

© 2025 IconStyle | Një Markë e GlobalEcho Media Group
Rruga Sami Frashëri Pallati Vortek , Qendra Metropol, kati i dytë. Na kontaktoni

Nuk ka rezultat
View All Result
  • Celebrity
  • Aktualitet
  • ICONsclusive
  • Stil jetese
  • Horoskopi
  • Udhëzime për dhurata
  • Qytetarët

© 2025 IconStyle | Një Markë e GlobalEcho Media Group
Rruga Sami Frashëri Pallati Vortek , Qendra Metropol, kati i dytë. Na kontaktoni

Welcome Back!

Login to your account below

Forgotten Password? Sign Up

Create New Account!

Fill the forms bellow to register

All fields are required. Log In

Retrieve your password

Please enter your username or email address to reset your password.

Log In