Terapia qelizore CAR-T, rezultate pozitive për të luftuar kancerin
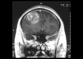
Ekspertët kanë testuar një metodë të re ndaj terapisë qelizore CAR-T, e cila është një mënyrë për të marrë qelizat ...
Ekspertët kanë testuar një metodë të re ndaj terapisë qelizore CAR-T, e cila është një mënyrë për të marrë qelizat ...
© 2025 IconStyle | Një Markë e GlobalEcho Media Group
Rruga Sami Frashëri Pallati Vortek , Qendra Metropol, kati i dytë. Na kontaktoni
© 2025 IconStyle | Një Markë e GlobalEcho Media Group
Rruga Sami Frashëri Pallati Vortek , Qendra Metropol, kati i dytë. Na kontaktoni